UNIDAD IV: Biologia Humana
Biología Humana; Contaminación, Enfermedades Ambientales, Anormalidades Cromosómicas, Genética y Nutrición
1. Contaminación Ambiental
La contaminación es la alteración nociva del entorno natural por la introducción de agentes físicos, químicos o biológicos que afectan negativamente a los seres vivos. Puede provenir de fuentes naturales (como erupciones volcánicas) o, mayormente, de actividades humanas como la industria, el transporte y la agricultura.
Fuentes de contaminación
Contaminación del aire:
Causada por emisiones de dióxido de carbono (CO₂), óxidos de nitrógeno (NOx), dióxidos de azufre (SO₂) y partículas en suspensión.
Contaminación del agua:
Por vertidos industriales, agrícolas (pesticidas y fertilizantes), y domésticos.Contaminación del suelo:
A causa del uso excesivo de agroquímicos, residuos sólidos y desechos tóxicos.
Contaminación sonora y lumínica:
También se consideran formas de alteración ambiental que afectan el bienestar de los seres vivos.
Efectos en las propiedades del ambiente
Los contaminantes pueden cambiar las propiedades físicas y químicas del aire, del agua y del suelo, alterando su composición, pH, temperatura, turbidez, entre otros factores. Estos cambios tienen repercusiones directas en los ecosistemas y la biodiversidad.
Daño a la vida vegetal y animal
Los efectos pueden incluir:
- Inhibición de la fotosíntesis en plantas por acumulación de contaminantes sobre las hojas.
- Bioacumulación de toxinas en organismos acuáticos.
- Disminución de hábitats y aumento de enfermedades en fauna silvestre.
Daños a la salud humana
Entre los efectos más comunes están:
- Problemas respiratorios (asma, bronquitis crónica).
- Enfermedades cardiovasculares.
- Alteraciones neurológicas por exposición a metales pesados (plomo, mercurio).
- Cánceres asociados a contaminantes como el benceno o el arsénico.
Alteraciones en la vida local
La contaminación afecta la calidad de vida, puede llevar al desplazamiento de comunidades y modificar la economía local (por pérdida de cultivos, pesca, agua potable).
Factores que determinan la severidad de un contaminante
- Concentración del agente.
- Tiempo de exposición.
- Frecuencia del contacto.
- Vulnerabilidad del organismo expuesto (edad, estado de salud, genética).
Enfermedades Ambientales
Las enfermedades ambientales son afecciones causadas por la exposición a factores presentes en el entorno físico, químico o biológico.
Peligros físicos
Radiaciones ionizantes:
Como los rayos X y la radiación ultravioleta. Pueden dañar el ADN y aumentar el riesgo de cáncer.Ruido:
Niveles altos de sonido pueden causar pérdida auditiva, trastornos del sueño y estrés.
Temperaturas extremas:
Contribuyen a golpes de calor, hipotermia o afectaciones en personas con enfermedades cardiovasculares.
Peligros químicos
Sustancias inflamables, explosivas y tóxicas.
Ejemplo: los pesticidas organofosforados afectan el sistema nervioso; el asbesto puede causar cáncer de pulmón; los disolventes orgánicos generan daño hepático o renal.
Peligros biológicos
Provienen de microorganismos patógenos presentes en el ambiente o en alimentos y agua contaminados. Entre las enfermedades más comunes se incluyen:
Fiebre tifoidea: causada por Salmonella typhi, transmitida por agua o alimentos contaminados.
Cólera: infección intestinal grave provocada por Vibrio cholerae.
Hepatitis A y E: transmitidas por vía fecal-oral, afectan al hígado.
Otras enfermedades de origen ambiental pueden incluir leptospirosis, toxoplasmosis y enfermedades transmitidas por vectores (como dengue o malaria).
3. Anormalidades Cromosómicas
Las anormalidades cromosómicas ocurren cuando hay un número incorrecto de cromosomas o alteraciones estructurales en los mismos. Estas alteraciones pueden ser congénitas y provocar síndromes con diversas manifestaciones físicas y mentales.
Aneuploidías
Una aneuploidía es la presencia de un número anormal de cromosomas. En vez de tener los 46 cromosomas usuales, la persona puede tener uno extra o faltar uno.
Trisomía 13 (Síndrome de Patau)
-Características: microcefalia, malformaciones faciales, polidactilia, retraso mental grave.
-Generalmente hay una alta mortalidad en el primer año de vida.
Trisomía 18 (Síndrome de Edwards)
-Se asocia con bajo peso al nacer, cráneo pequeño, malformaciones cardíacas y renales.
-La mayoría de los afectados no sobrevive más allá del primer año.
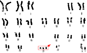
Trisomía 21 (Síndrome de Down)
-Es la aneuploidía más común.
-Características: discapacidad intelectual leve a moderada, cara redondeada, pliegue palmar único, tendencia a ciertas enfermedades cardíacas y problemas inmunológicos.
Trisomía 22
-Mucho menos común.
-Suele estar asociada a malformaciones múltiples y retraso del desarrollo.
-La supervivencia es limitada.
Anormalidades en los cromosomas sexuales
Síndrome de Turner (XO)
- Afecta solo a mujeres.
- Ausencia parcial o total de un cromosoma X.
- Características: baja estatura, infertilidad, cuello ancho, problemas cardíacos.
Síndrome de Klinefelter (XXY)
- Afecta solo a varones.
- Características: testículos pequeños, esterilidad, desarrollo de características femeninas como ginecomastia.
Síndrome del súper varón (XYY)
- Varones con un cromosoma Y adicional.
- Suelen tener estatura alta, mayor agresividad (controvertido), y en muchos casos no presentan síntomas clínicos notorios.
Síndrome de triple X (XXX)
- Mujeres con un cromosoma X adicional.
- Generalmente no presentan síntomas evidentes, aunque puede haber un leve retraso en el desarrollo o problemas de aprendizaje.
Nutrición
La nutrición es el proceso biológico mediante el cual los organismos obtienen y utilizan los nutrientes necesarios para el mantenimiento de la vida, el crecimiento y el desarrollo.
Nutrición vs Alimentación
Alimentación: acto voluntario de ingerir alimentos.
Nutrición: proceso involuntario de absorción y metabolismo de los nutrientes ingeridos.
Funciones de los nutrientes
Carbohidratos: principal fuente de energía inmediata.
Proteínas: necesarias para la formación de tejidos, enzimas, hormonas.
Lípidos: fuente energética concentrada, intervienen en la síntesis hormonal.
Vitaminas y minerales: reguladores de reacciones químicas vitales.
Agua: esencial para el transporte de sustancias y el equilibrio térmico.
Vitaminas importantes
Vitamina A: salud visual, piel y mucosas.
Vitamina C: antioxidante, refuerza el sistema inmune.
Vitamina D: regula el calcio y fortalece los huesos.
Vitamina E: protege las membranas celulares.
Vitamina K: fundamental para la coagulación.
Complejo B (B1, B2, B6, B12): intervienen en el metabolismo energético y funcionamiento del sistema nervioso.
GUIA UNIDAD IV:
- Pag 41-50
- Capitulo 1: Pag 14 -18
- Capitulo 5: Pag 55 - 64
- Pag 605-614
- Pag 184 - 196
MANUAL DE NUTRICION Y DIETETICA:
Written by: Suhail Bermudez












